Aggiornamenti e approfondimenti
News

Conosci la Carie?
La carie dentale è una malattia infettiva cronica che colpisce lo smalto e la dentina. Scopri le cause, i sintomi e come prevenirla efficacemente.

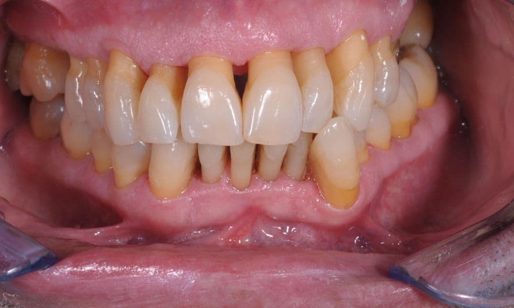
Parodontite: come si cura
Esistono diversi approcci terapeutici per trattare la parodontite. Dal trattamento non chirurgico alla chirurgia rigenerativa: scopri il protocollo del nostro studio.

SOS GENGIVITE: IL PROTOCOLLO EFFICACE
La gengivite è la prima fase della malattia parodontale ed è completamente reversibile se trattata in tempo. Scopri il protocollo efficace del Dott. Paolantoni.

Alimentazione e Salute della bocca
Cosa mangiamo influenza direttamente la salute del cavo orale. Scopri quali alimenti proteggono denti e gengive e quali invece favoriscono l'insorgenza di patologie.

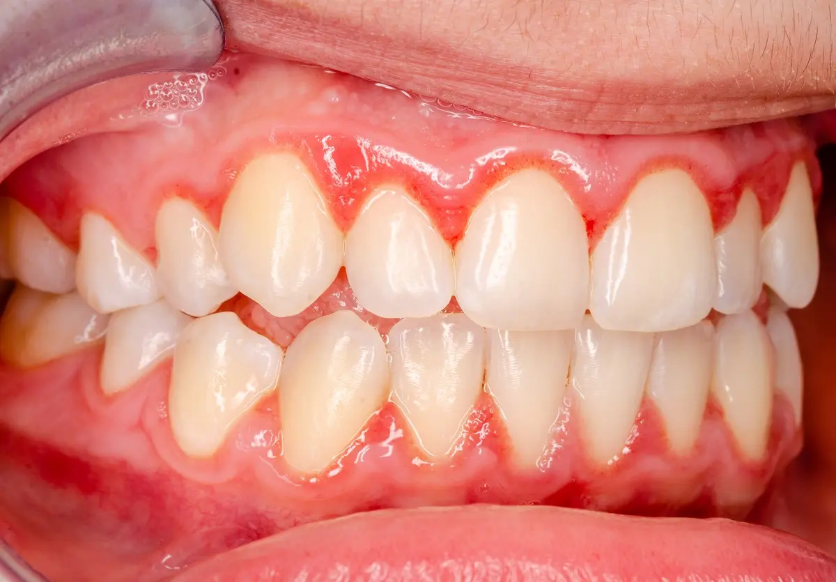
Infiammazioni alle Gengive come curarle?
Le gengive infiammate sono un segnale che il corpo ci manda. Non ignorarle: scopri le cause più comuni e i rimedi consigliati dal nostro studio.

Parodontite come curare la malattia parodontale?
Un approfondimento completo sulla malattia parodontale: dalla diagnosi precoce al trattamento, fino alla fase di mantenimento a lungo termine.
Hai domande sulla tua salute orale?
Contattaci per una consulenza personalizzata con il Dott. Paolantoni.
Contattaci
